Ex-Smoking COPD Patients Who Switched to Vaping Experienced Long-Term Benefits
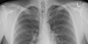
Titled “Health effects in COPD smokers who switch to electronic cigarettes: a retrospective-prospective 3-year follow-up”, the earlier study followed 44 patients for a period of three years. The participants were split in two groups, those who switched from smoking to vaping and the ones who kept on smoking. The compiled data indicated that the COPD … Continue reading Ex-Smoking COPD Patients Who Switched to Vaping Experienced Long-Term Benefits
Copy and paste this URL into your WordPress site to embed
Copy and paste this code into your site to embed