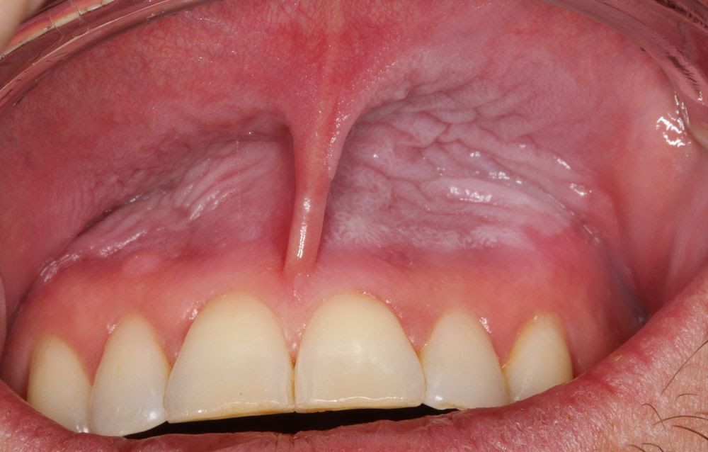
Clinical studies have consistently shown a high prevalence of oral lesions among users of snus and nicotine pouches (NPs). A 2023 Norwegian study involving 1,363 snus users aged 20-22 found that 79.2% had snus lesions. Similarly, a 2022 study by the University of Gothenburg reported that 70-90% of snus and NP users experienced lesions due to their use of the products.
Enter Sting Free AB, a brand of nicotine pouches which has come up with products that do not irritate the gums and/or sting, like most oral tobacco products do. Created by the founder of tobacco harm reduction advocacy group EUforsnus, this invention started when as a user himself, Bengt Wiberg was told by his dentist that using snus was damaging his oral health. Despite this, Wiberg was not willing to quit snus out of fear he would revert back to smoking, after having successfully quit in 1991 thanks to the product. This led him to come up with the simple yet brilliant idea of putting a band aid on the part of the pouches in contact with his gums. The band aids worked like a charm- the unpleasant burning sensation on the gums disappeared immediately and his oral health improved quickly, while as a user he still enjoyed the full aroma and nicotine effect of the product.
This inspired Wiberg to patent the idea. However, every brand he approached with his idea rejected it, with the reason given for the rejections often being “it’s supposed to sting.” Hence he decided to set up his own company, and the result is Stingfree products, which come with an impermeable barrier on the gum side of the pouch, preventing the familiar burning and stinging sensation of these types of products. Wiberg, along with his son Daniel, now market these premium pouches through their company, Sting Free AB. Their goal is for this technology to be adopted by all manufacturers of snus and NPs to benefit users worldwide.
A ground breaking trial
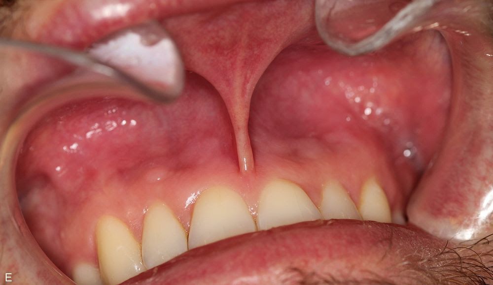
Before the trial, 43.5% of the dentists reported having irritated gums, and 95.7% had visible oral mucosal snus lesions, which are pathological changes characterized by discoloured, thickened and wrinkled mucosa due to snus use. The results showed significant improvements: the incidence of irritated gums dropped from 43.5% to 4.3%, while the presence of oral mucosal snus lesions decreased from 95.7% to 65.2%. The severity grade of these lesions was also reduced by 51.9%. After the trial, 74% of participants felt their gums were significantly healthier.


Wiberg is rightly very proud of his invention, which is now the world’s only nicotine pouch recommended by dentists for reducing gum irritation and oral mucosal lesions. This endorsement from dental professionals highlights the potential of Stingfree nicotine pouches to offer a safer alternative for users who struggle with the adverse oral health effects of traditional snus and nicotine pouches.
“It is important to remember that all nicotine pouches are a much safer alternative to consuming nicotine than cigarettes. Consumers should however be aware that pouches can affect the oral health in a negative and sometimes painful way. That is the reason that I invented Stingfree pouches which has enabled me to continue using safe pouches, to get my nicotine, as opposed to smoking,” Bengt told Vaping Post.
The Sting Free AB inventor revealed that the report on the unique test has been well received worldwide, with dentistry professors and doctors from Sweden, the UK and USA commenting positively after reading its report.











